Saúde

Rueda destaca o interese doutras comunidades nas medidas da Xunta fronte á falta de médicos

11/02/2023 14:08

Di que a Xunta seguirá priorizando o gasto na sanidade para conseguir outros retos, como volver ás listas de agarda de antes da pandemia.


Chamada urxente aos doadores: os servizos sanitarios precisan sangue do grupo 0 negativo

10/02/2023 16:49

A próxima semana unidades móbiles percorrerán as catro provincias galegas

Categorías:  Sociedade   Saúde   Galicia
Etiquetas:  DOAZÓN   SANGUE

A Xunta convocará este mes as 413 prazas de sanitarios e a oposición fala de "parches"

10/02/2023 16:00

Alfonso Rueda pídelle ao Goberno central que se implique nas medidas

BNG e PSdeG chaman a participar este domingo na manifestación convocada pola plataforma SOS Sanidade Pública


App para farmacias #Sinxelo

09/02/2023 15:30

Hai unha app que

A Xunta crea unha bolsa de persoal voluntario para cubrir gardas nos PAC

09/02/2023 11:10

O persoal voluntario poderá ser chamado de 3 a 7 días ao mes e cobrarán pola propia dispoñibilidade, amais de polas gardas realizadas, ata un máximo de 5.309 euros brutos ao mes


O Senado aproba a reforma da lei do aborto

08/02/2023 18:16

PP e Vox presentaron senllos vetos ao proxecto de lei ao considerar que este vulnera dereitos fundamentais

Categorías:  Sociedade   Saúde   España
Etiquetas:  IGUALDADE

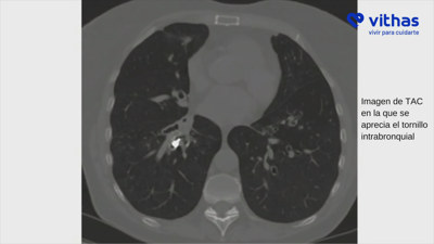
Sácanlle un parafuso que tiña nos bronquios dende había sete meses

08/02/2023 14:48

A muller, de 70 anos, aspirara sen decatarse a peza de titanio despois dunha cirurxía dental


Xa non hai que levar máscara no transporte público; onde segue sendo obrigatoria?

08/02/2023 14:07

Hoxe a máscara deixa de ser obrigatoria no transporte público. Tampouco fará falta empregala en
Categorías:  Sociedade   Saúde   España
Etiquetas:  CORONAVIRUS

Unha señora viaxa con máscara no transporte público. (EFE/Javier Etxezarreta)

Adeus á máscara no transporte público; onde segue a ser obrigatoria?

08/02/2023 10:41

A máscara segue sendo obrigatoria nos centros sanitarios, farmacias e residencias de maiores

Recoméndase o seu uso ás persoas vulnerables ou que presenten síntomas de infección respiratoria


Reclaman o dereito ao esquecemento oncolóxico

08/02/2023 10:24

A Fundación Josep Carreras denuncia que España, Malta e Islandia son os únicos países da Unión Europea en que as aseguradoras poden solicitar a historia clínica do paciente

Moitos pacientes que superaron completamente o cancro hai máis de 5 anos atópanse con que os bancos lles denegan os préstamos ao saber que tiveron cancro

Categorías:  Sociedade   Saúde   España
Etiquetas:  CANCRO
Publicidade
Publicidade